Наши работы
Результаты говорят сами
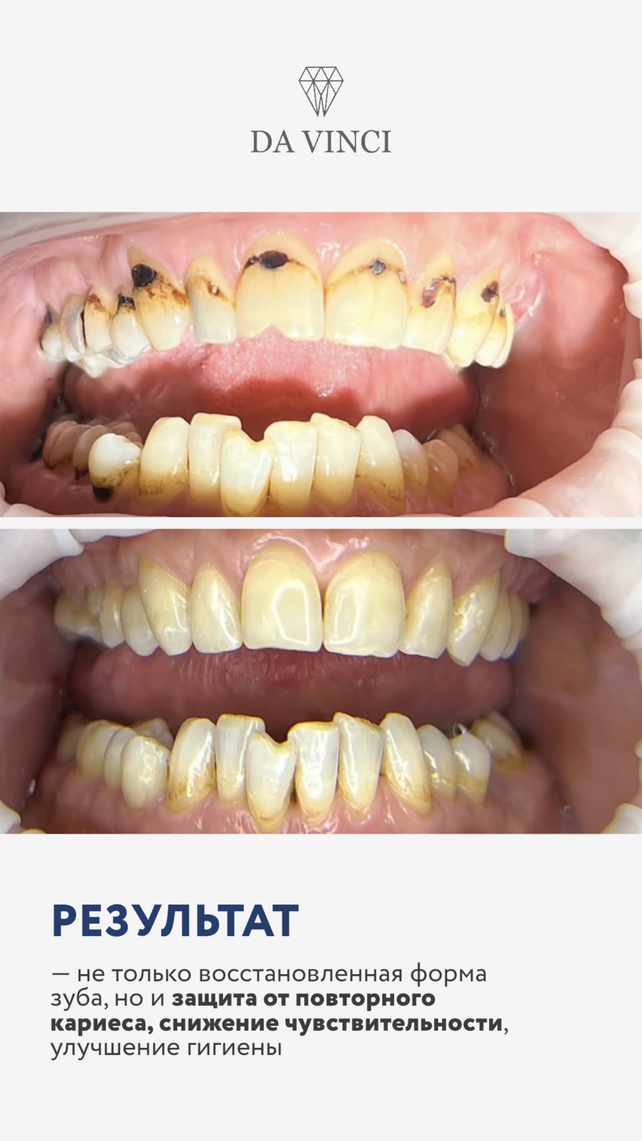
Каждый кейс — реальная история, реальный пациент, реальное преображение.
Виниры
Брекеты
Ортодонтия
До / После
Хотите такой же результат?
Запишитесь на консультацию — составим план преображения.